幼児矯正の考え方
2025/11/27歯の知識幼児矯正について、当院の考え方をわかりやすくご紹介します。
幼児矯正
上あごと下あごのバランスを整え、健やかな歯ならびへ
お子さんの「受け口」や「出っ歯」、「口呼吸」などの原因となるお口のクセ(専門的には“口腔習癖”と呼ばれます)を整える最適な時期が「幼児期(3歳〜6歳ごろ)」です。リーズナブルな既成の装置を使うことで、バランスの良い噛み合わせになるよう成長をコントロールします。この後の小児期(7歳〜12歳ごろ)でも治すことができるのですが、「リーズナブル」で「楽に」「顔立ちが最もよくなるように」治療できるのはこの時期に限ります。顎のずれ・アンバランスがあるなら、できるだけ早くから治療を始めることをお勧めしています。
舌の位置や飲み込み方など癖を発見して正常な動きに改善するトレーニング(MFT:口腔筋機能療法)と、4歳ごろから始められる就寝時に装着するトレーナー装置を組み合わせ、成長の余力が大きいこの時期に、自然なあごの発育を導く幼児矯正を行っています。
寝ている間だけの短時間の装着でご家庭でも無理なく続けられる らくらく矯正です。
これらは一見「クセ」に見えますが、早い段階で機能的に正しい動きに導くことで、改善していくことができます。この治療だけで完治することもありますし、完治しなくても将来の矯正負担を軽くできることがあります。
3歳からの予防矯正
あごの成長をサポートする早期トレーニング
3歳ごろからは、あごの発育やお口の使い方のクセを整えるために、専用のトレーニング器具を使います。
目的は、無理に歯を動かすのではなく、「筋肉や舌の使い方」を正しく習得させ、自然なあごの成長を促すことです。
使用する器具と役割
それぞれの器具には、あごの動きや舌の位置を正しい方向へ導く目的があります。担当医が診断のうえで、最適な器具と使い方をご説明します。
4歳からの幼児マウスピース矯正
寝ている間に装着するトレーニング装置
器具を使ったトレーニングだけでは改善が難しい場合、4歳ごろからは就寝時に装着するマウスピース矯正にステップアップします。
既製の柔らかいマウスピースを用いて、あごの位置とお口まわりの筋肉のバランスを整えます。
装着ルール
・寝る前の1時間+寝ている間に装着
・装着前は歯みがき・うがいをしっかり行う
・装着中は水以外の飲食を控える
継続使用により、3〜4割のお子さんがこの段階で歯ならび・噛み合わせが改善しています。
使用するマウスピース
マウスピースは既製品ですが、歯ならびの状態を診て歯科医師が判断します。
日中はできるだけ自然な口の使い方を意識し、夜間はマウスピースでサポートします。
ご家庭でのケアとチェックポイント
装着前はフッ素入り歯みがき剤でしっかりブラッシング
寝る前にフッ素洗口を行うと、むし歯予防効果が高まります
マウスピースは毎朝水洗いし、週1回は専用洗浄剤で清潔に
強い痛みや違和感がある場合は無理に続けず、ご相談ください。
矯正治療とむし歯予防
器具やマウスピースを使っている間は、食べかすや汚れが残りやすくなり、むし歯のリスクが高まります。
そのため、矯正期間中はフッ素入り歯みがきの使用に加えて、寝る前のフッ素洗口をおすすめしています。
フッ素洗口により、歯の表面にフッ化物イオンによるバリアを張ります。むし歯が作り出す「酸」による攻撃を防ぐ効果があります。
通院・期間・費用の目安
通院:3ヶ月に1回(初回のみ1ヶ月後)
治療期間:数ヶ月〜1年を目安に段階的に進行
費用:トレーナー装置代のみ トライアル11,000円・ハード移行時77,000円
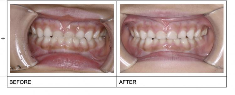
当院の矯正症例
子どもの矯正の適齢期は大きく分けて3つ
当院の小児矯正は、成長に合わせて幼児期矯正・1期矯正・2期矯正の3段階で進めます。
幼児期矯正(4〜6歳)は顎骨成長のバランス改善を目的とし、夜間に使用する既製マウスピースで出っ歯や受け口などの噛み合わせのズレを整えます。
1期矯正(7〜12歳)では、永久歯が並ぶスペースを確保し、将来の抜歯リスクを減らします。
2期矯正(16〜18歳)は成長完了後に行う仕上げの矯正で、3〜6ヶ月の短期間で歯ならびを整えます。
早い段階から必要な治療を行うことで、最終的な仕上がりの質を高めることができます。
また、定期的に通院いただくことで、成長に合わせた最適なタイミングで治療を進めることができます。さらに、治療を3期に分けて行うことで、全体の矯正期間を短縮し、トータルの費用負担を抑えることが可能です。


