インビザライン・マウスピース矯正
2025/06/09インビザライン体験ブログこんにちは!スタッフFです。
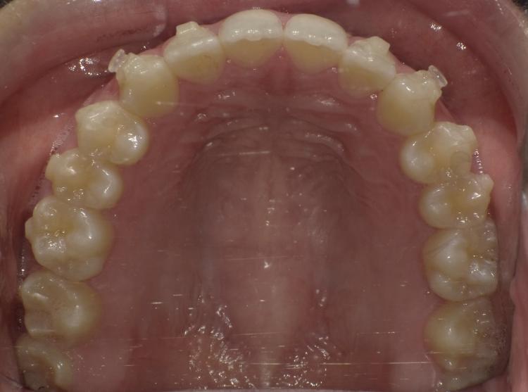
インビザラインのアライナーを6枚目に交換しました。
私は上顎の大きさが歯に対して少し小さかったので、歯を少し削ってスペースを作る処置をしました。
歯を削ってすぐの、マウスピース矯正をはじめた時の写真と現在の写真を比べたものです。
はじめは歯を削った前から4番、5番目の歯の前後の隙間に物が挟まりやすく気になっていましたが、今は歯列が整い隙間も均等になってきました。最終的にどうなるか楽しみです。


