インビザライン
スタッフ体験ブログ

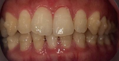
インビザライン・マウスピース矯正 10枚目

2025/11/01未指定
インビザライン・マウスピース矯正 10枚目
こんにちは。SAです。
マウスピース10枚に交換しました。
歯がだんだん並んできているのか装着時にも痛みが全くなく、つけ外しができています。
虫歯にならないようにしっかりと歯磨きとフロスをして綺麗な状態を維持できれば良いなと思います!
火金は19時まで
新規矯正相談予約