インビザライン・マウスピース矯正
2025/10/24インビザライン体験ブログこんにちは。スタッフFです。
インビザラインのアライナーを24枚目に交換しました。
今回のマウスピースは24枚目が最終アライナーになります。
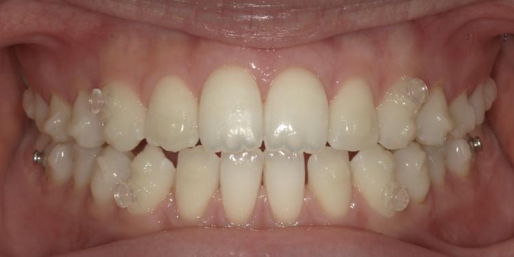
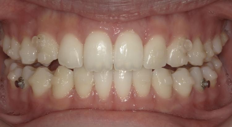
正面から撮影した写真のビフォーアフターを比べたものです。前歯がしっかり重なるようになりました!
今まで5-7日交換で進んでいたのですが、最後のアライナーは次の新しいマウスピースが届くまでつけ続けることになっています。最後までいったから終わり!と外してしまうと後戻りして元の歯並びに戻ってしまうので必ず最後のマウスピースをつけ続けておこうと思います。


