インビザライン
スタッフ体験ブログ

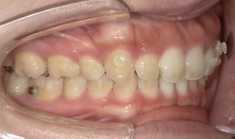
インビザライン・マウスピース矯正3枚目

2025/04/11インビザライン体験ブログ
こんにちは。スタッフMです。
マウスピースを3枚目に交換しました。
今のところ浮きなくこれています。
気になっている右上も少し改善されてきたように思います。
引き続き装着時間守って進めていきたいと思います。
インビザライン・マウスピース矯正3枚目
火金は19時まで
新規矯正相談予約