インビザライン
スタッフ体験ブログ

インビザライン・マウスピース矯正

2025/08/29インビザライン体験ブログ
こんにちは。スタッフFです。
インビザラインのアライナーを22枚目に交換しました。
交換してすぐは上の歯に力がかかっているような痛みがありましたが、数日でとれました。
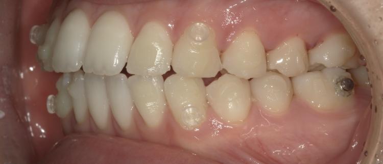
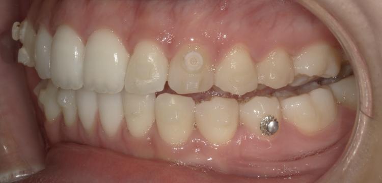
以下の写真はマウスピース矯正をはじめる前と現在の歯並びを比べたものです。
前歯の前突感がなくなりました!歯並びが変わるので噛み合わせにズレが出てくるのですが最後に噛めるように調整するので安心できます。
インビザライン・マウスピース矯正 インビザライン・マウスピース矯正
火金は19時まで
新規矯正相談予約