上あごと下あごのバランスを整え、健やかな歯ならびへ

お子さんの「受け口」や「出っ歯」、「口呼吸」などの原因となるお口のクセ(専門的には“口腔習癖”と呼ばれます)を整える最適な時期が「幼児期(3歳〜6歳ごろ)」です。リーズナブルな既成の装置を使うことで、バランスの良い噛み合わせになるよう成長をコントロールします。この後の小児期(7歳〜12歳ごろ)でも治すことができるのですが、「
舌の位置や飲み込み方など癖を発見して正常な動きに改善するトレーニング(MFT:口腔筋機能療法)と、4歳ごろから始められる就寝時に装着するトレーナー装置を組み合わせ、成長の余力が大きいこの時期に、自然なあごの発育を導く幼児矯正を行っています。
お子さんに
こんな症状はありませんか?
-
上下の噛み合わせが
左右にずれている -
受け口
(下の歯が前に出ている) -
出っ歯
(上の前歯が前に出ている) -
歯ならびが
ガタガタしている -
前歯が閉じない・
開咬になっている -
口がいつも開いている、
口呼吸をしている
これらは一見「クセ」に見えますが、早い段階で機能的に正しい動きに導くことで、改善していくことができます。この治療だけで完治することもありますし、完治しなくても将来の矯正負担を軽くできることがあります。
3歳からの予防矯正 

あごの成長をサポートする早期トレーニング
3歳ごろからは、あごの発育やお口の使い方のクセを整えるために、専用のトレーニング器具を使います。
目的は、無理に歯を動かすのではなく、「筋肉や舌の使い方」を正しく習得させ、自然なあごの成長を促すことです。
使用する器具と役割
受け口
(下の歯が前に出ている)

パナスティック
弱い力を加え前歯を誘導するトレーニングに使います
出っ歯
(上の歯が前に出ている)

タッチスティック
前歯で噛むトレーニングのために使います
口呼吸・ポカン口

ポカンX
上下の口唇が接触している感覚を養うために使います
それぞれの器具には、あごの動きや舌の位置を正しい方向へ導く目的があります。
担当医が診断のうえで、最適な器具と使い方をご説明します。
当院では食育の方法と癖の改善が分かるガイドブックをプレゼントしています。


4歳からの
幼児マウスピース矯正 

寝ている間に装着するトレーニング装置
器具を使ったトレーニングだけでは改善が難しい場合、4歳ごろからは就寝時に装着するマウスピース矯正にステップアップします。
既製の柔らかいマウスピースを用いて、あごの位置とお口まわりの筋肉のバランスを整えます。
装着ルール
- 寝る前の1時間+寝ている間に装着
- 装着前は歯みがき・うがいをしっかり行う
- 装着中は水以外の飲食を控える
継続使用により、3割のお子さんがこの段階で歯ならび・噛み合わせが完治、7割が改善しています。
使用するマウスピース
受け口
(下の歯が前に出ている)

ムーシールド
受け口は早期からの治療が大切です
出っ歯
(上の歯が前に出ている)

T4K(ティーフォーケー)
一般的な歯ならびが悪い場合に使います
開咬
(前歯が噛み合わない)

プレオルソ
前歯の開きは装置治療が効果的です
マウスピースは既製品ですが、歯ならびの状態を診て歯科医師が判断します。
日中はできるだけ自然な口の使い方を意識し、夜間はマウスピースでサポートします。
ご家庭でのケアとチェックポイント
- 装着前はフッ素入り歯みがき剤でしっかりブラッシング
- 寝る前にフッ素洗口を行うと、むし歯予防効果が高まります
- マウスピースは毎朝水洗いし、週1回は専用洗浄剤で清潔に
強い痛みや違和感がある場合は無理に続けず、ご相談ください。
矯正治療とむし歯予防

器具やマウスピースを使っている間は、食べかすや汚れが残りやすくなり、むし歯のリスクが高まります。
そのため、矯正期間中はフッ素入り歯みがきの使用に加えて、寝る前のフッ素洗口をおすすめしています。
フッ素洗口により、歯の表面にフッ化物イオンによるバリアを張ります。むし歯が作り出す「酸」による攻撃を防ぐ効果があります。

通院・期間・費用の目安
| 通院 | 3ヶ月に1回(初回のみ1ヶ月後) |
|---|---|
| 治療期間 | 数ヶ月〜1年を目安に段階的に進行 |
| 費用 | トレーナー装置代のみ |
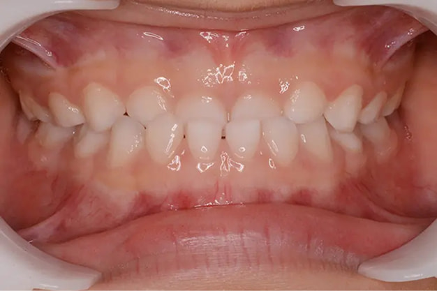
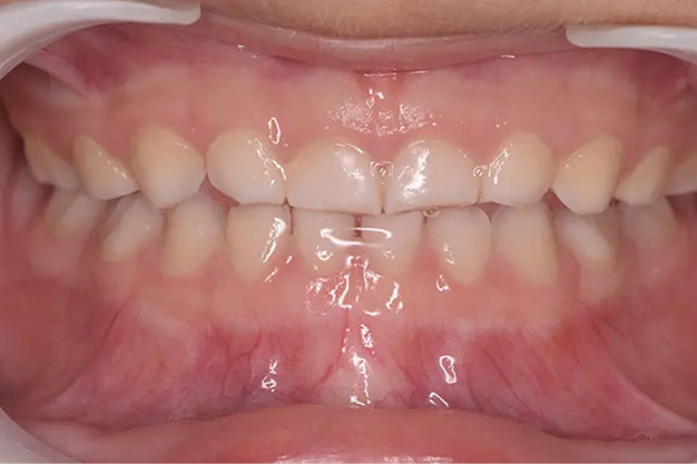
当院の矯正症例

Before

After
| 年齢 | 5歳 |
|---|---|
| 性別 | 女性 |
| 治療費用 | 88,000円(税込) |
| 治療期間 | 8ヶ月(2015年開始) |
| 通院回数 | 4回 |
| 抜歯 | 無し |
| 治療方法 | 既製マウスピース矯正装置「ムーシールド」を用いた治療 |
| 治療リスク | トレーナー装置は毎日正しく装着しなければ、十分な改善が見込めません。 |
※矯正サイトに移動します
子どもの矯正の適齢期は大きく分けて3つ
当院の小児矯正は、成長に合わせて幼児期矯正・1期矯正・2期矯正の3段階で進めます。
幼児期矯正(4〜6歳)は顎骨成長のバランス改善を目的とし、夜間に使用する既製マウスピースで出っ歯や受け口などの噛み合わせのズレを整えます。
1期矯正(7〜12歳)では、永久歯が並ぶスペースを確保し、将来の抜歯リスクを減らします。
2期矯正(16〜18歳)は成長完了後に行う仕上げの矯正で、3〜6ヶ月の短期間で歯ならびを整えます。

早い段階から必要な治療を行うことで、最終的な仕上がりの質を高めることができます。
また、定期的に通院いただくことで、成長に合わせた最適なタイミングで治療を進めることができます。さらに、治療を3期に分けて行うことで、全体の矯正期間を短縮し、トータルの費用負担を抑えることが可能です。
小児矯正を見る「ママとこどものはいしゃさん」とは、厳正な審査基準を満たした医院のみが認定を受ける、安心・安全な歯科医院です。
- むし歯・歯周病から家族を守る「定期的な予防管理」
- 国の基準をクリアした「衛生管理体制」
- お子さんの健康なお口を育てる「小児矯正」
- ママに優しい、金属を使わない「セラミック治療」
当院は「ママとこどものはいしゃさん甲子園院」として、ママとこどものはいしゃさんグループ(株式会社ウィンポイント)より正式に認定された歯科医院です。
- MFT(口腔筋機能療法)はどんなことをするのですか?
MFTは、舌や唇などお口まわりの筋肉を正しく使えるようにするためのトレーニングです。
甲子園矯正歯科 伊藤歯科クリニックでは、トレーナー装置や口腔習癖の改善指導とあわせて行い、あごの健やかな成長をサポートしています。
- 何歳から始められますか?
3歳ごろから器具を使用したトレーニングや、4歳ごろから既製のマウスピースを使用した矯正を始められます。成長や協力度により前後します。
- 痛みはありますか?
強い力をかけないため、痛みはほとんどありません。初めは軽い違和感を感じることがありますが、すぐに慣れるお子さんが多いです。
- 効果はどのくらいで出ますか?
個人差はありますが、半年〜1年で変化が見られることが多く、3〜4割のお子さんがこの段階で改善しています。
- 幼児矯正で本当に効果がありますか?
幼児矯正は、あごの成長を正しい方向に導き、将来の歯ならびの乱れを予防することを目的としています。
すぐに歯が動くわけではありませんが、3〜4歳からのトレーニングやトレーナー装置で、受け口や出っ歯が改善したお子さんも多くいらっしゃいます。
実際の症例は、以下のページでご紹介しています。
- 日中も使う必要がありますか?
トレーニング器具は日中短時間の練習が中心で、マウスピースは寝る前1時間と就寝中の使用が基本です。
- 兄弟で同じ器具を使ってもいいですか?
衛生面や適合性の観点から、器具や装置の使い回しは推奨しておりません。お子さんの状態に合わせて専用の器具・装置をお渡しし、正しい使用方法のご案内や日常での管理を行っています。
- 保育園・幼稚園でも使えますか?
ご家庭での使用を基本としています。
- むし歯がある場合はどうなりますか?
むし歯がある場合は、矯正治療と並行してむし歯治療を進めても問題ありません。
- 幼児矯正で改善しなかった場合はどうなりますか?
幼児矯正で噛み合わせや歯ならびの改善が難しい場合は、成長や歯の生え替わりのタイミングを見て小児矯正(低学年向けマウスピース矯正:インビザラインファースト)へ移行します。
幼児矯正で得られたお口の筋肉バランスや習癖改善は、その後の矯正治療にも大きく役立ちます。
- 小児矯正に移行する場合、幼児矯正の費用はどうなりますか?
当院で幼児矯正を受けていた方が小児矯正へ進まれる場合は、すでにお支払いいただいた幼児矯正の装置費用を差し引いて小児矯正を開始していただけます。
段階的に進めることで、無駄なく次のステップへ移行できるよう配慮しています。
| 診療時間 | 月 | 火 | 水 | 木 | 金 | 土 | 日 |
|---|---|---|---|---|---|---|---|
| 8:30~12:00 | |||||||
| 13:30~17:00 |
※休診日:日曜・祝日
診療時間外はLINEでメッセージをお受けします。

