伊藤歯科が取り組む “むり・むら・むだ” を省いた設計思想のマウスピース矯正
マウスピース矯正で大切なのは治療計画と管理
大人の矯正で多い不安と、当院の考え方
大人になってからの矯正は、「やった方がいいのは分かっているけれど、なかなか踏み出せない」そんな方がほとんどです。
- 仕事が忙しい
- 通院の時間が取れない
- 途中で長引くのが怖い
- 本当にきれいに治るのか不安
だからこそ、大人のマウスピース矯正には「確実に治りきる設計」と「途中で失敗しない管理」が必要だと、私たちは考えています。
当院では、年間およそ300人の成人マウスピース矯正を担当し、軽度から難症例まで、数多くのケースを「最後まで治しきって」きました。
装置よりも重要なのは「治療計画」
大人の矯正で本当に大切なのは、装置の種類ではありません。
- どこでトラブルが起こりやすいのか
- どんな時に計画がズレるのか
- どうすれば修正できるのか
それを最初から織り込んだ治療計画を立てられるかどうかです。
私たちは、「たまたまうまくいった矯正」ではなく、何度やっても同じ結果にたどり着く再現性ある矯正を大切にしています。
これ以上、歯ならびのことで人生の時間を消耗してほしくない。
その想いで、大人のマウスピース矯正に向き合っています。
透明で目立ちにくいマウスピース型装置「Invisalign(インビザライン)」を使用する矯正治療
当院では、成人のマウスピース矯正にInvisalign(インビザライン)を採用しています。
理由はシンプルです。
私たちが大切にしている
- 無駄な動きをしない治療設計
- 途中で崩さない管理
- 押しつけない治療計画
このすべてを、もっとも高いレベルで実現できるシステムだからです。
インビザラインは、歯の動きを3Dで可視化し、治療のゴールから逆算してステップを設計できるマウスピース矯正です。
どの歯を
どの順番で
どの程度動かすのか
それを事前に細かく確認できるため、やり直しや遠回りを極力減らした、合理的な矯正治療が可能になります。
見た目や快適さ、そして精度を重視した、世界的にも信頼性の高い治療方法です。
インビザラインのメリット
| 透明で 目立たない |
約1週間の 交換で清潔 |
痛みが少ない | 食事がしやすい | 金属アレルギー なし |
通院回数が 少ない |
最短3ヶ月で矯正完了、半年以内に5割が終了
1000人以上のおとなの歯ならびを診てきた経験から、当院には短期間で終わる成人矯正のノウハウがあります。
そのため、マウスピース矯正(インビザライン)を使えば、3ヶ月で完了する方が約2割、半年以内なら約5割、1年だと約8割にのぼります。
成人矯正の治療期間
| 年 | 3ヶ月 | 半年 | 1年 | 1年半 | 1年半超 |
|---|---|---|---|---|---|
| 21% | 26% | 29% | 11% | 11% | |
| 2019 | 8 | 8 | 4 | 9 | 11 |
| 2020 | 8 | 19 | 15 | 5 | 7 |
| 2021 | 20 | 32 | 37 | 23 | 26 |
| 2022 | 46 | 38 | 55 | 23 | 25 |
| 2023 | 31 | 30 | 40 | 21 | 17 |
| 2024 | 22 | 44 | 58 | 10 | 2 |
| 2025 | 27 | 29 | 18 | 0 | 0 |
| 計 | 162 | 200 | 227 | 91 | 88 |
※2019年にマウスピース矯正を導入して以降の実績を集計しています。
当院が選ばれる理由
無駄な動きをしない治療設計
短期間成人矯正の実績が1000人以上
当院のマウスピース矯正は、歯を「無理に早く動かす」矯正ではありません。
必要のない動きを最初から省き、最短距離でゴールに向かう治療設計を行っています。
当院では、年間およそ200人の成人マウスピース矯正を担当し、軽度から難症例まで、多くのケースを最後まで治しきってきました。
その積み重ねが、成人矯正1,000件以上の実績につながっています。
矯正治療が長引く本当の原因
多くの矯正治療が長引く原因は、「歯が動かない」ことよりも、途中で計画を修正せざるを得なくなる無駄なステップにあります。
- 最初の治療ゴールが曖昧
- 歯の動く順番が整理されていない
- 後からやり直しが発生する
こうした遠回りを防ぐため、当院では治療開始前に、歯の動き・順番・注意点を細かく整理した治療計画を立てています。
その結果として、半年以内に治療を終えられる方が47%、1年以内に完了される方が76%と、「急がなくても、自然と治療期間が短くなる」状態が生まれています。
短期間で終わるのが目的ではありません。
無駄なく、無理なく、やり直しのない治療を行った結果です。
スマホアプリで矯正治療を管理
大人のマウスピース矯正がうまくいかなくなる最大の理由は、「装置」や「計画」ではなく、途中の管理が途切れてしまうことです。
- 仕事が忙しくなる
- 通院の間隔が空く
- 装着時間が守れなくなる
- 「これで合っているのか」不安になる
こうしたズレが積み重なると、治療は少しずつ遠回りになってしまいます。
当院では、そのリスクを減らすために、スマートフォンを使った遠隔管理システム(デンタルモニタリング)を導入しています。
ご自宅で専用のスキャンキットを使い、スマートフォンでお口の中を撮影するだけで、歯の動きや装着状況を定期的に確認します。
通院回数を減らすための仕組みではありません。
「問題が起きる前に気づくための管理」です。
- 歯の動きが予定とズレていないか
- マウスピースが合っているか
- 次のステップに進んでよい状態か
こうした判断を、来院を待たずに行うことで、必要なときにだけ適切な調整を行うことができます。
その結果、通院はおよそ3ヶ月に1回程度。
忙しい大人の生活リズムを崩すことなく、治療の質を落とさずに矯正を進めることが可能になります。
「ちゃんと見てもらえている」その安心感が、最後まで治しきるための大きな支えになります。
押し付けない、オーダーメイドの治療計画
マウスピース矯正は、「この通りにやりましょう」と一方的に進める治療では、大人の患者さんほど途中で違和感が生まれやすくなります。
- どこまで整えたいのか
- どのくらいの期間なら無理がないのか
- 見た目と噛み合わせ、どちらを優先したいのか
その答えは、人それぞれ違うからです。
当院では、検査や診断に入る前に、まず患者さんの想いや生活背景、治療に対する優先順位を丁寧にお伺いします。
そのうえで、検査後には複数パターンの3Dシミュレーション(クリンチェック)を作成し、
仕上がりや歯の動き、治療期間の違いを、動画で分かりやすくご説明します。
「どこまで治すか」
「どのルートでゴールに向かうか」
それを患者さん自身が納得して選べることを、私たちは大切にしています。
- 短期間を優先するプラン
- 仕上がりの完成度を重視するプラン
- ライフイベントに合わせたプラン
それぞれにメリット・注意点があり、正解はひとつではありません。
だからこそ当院では、治療を押しつけることはせず、現実的で続けられる選択肢を提示することを心がけています。
納得して選んだ治療は、途中で迷いにくく、結果にも満足しやすい。
それが、最後まで治しきるための大切な条件だと考えています。
大人の矯正治療には、すべての人に当てはまる一つの正解というものがありません
大人のマウスピース矯正は、「どれだけ早く終わるか」ではなく、「どこまで整えたいか」「どんなペースなら無理がないか」で選ぶ治療です。
- 見た目を優先したいのか
- 噛み合わせまでしっかり整えたいのか
- 仕事やライフイベントに合わせたいのか
大人になってからの矯正は、一人ひとり、優先順位が違って当然だと私たちは考えています。
そのため当院では、期間や価格だけで治療を決めることはおすすめしていません。
大切なのは、ご自身の生活に無理なく組み込めて、最後まで続けられること。
そして、治療が終わったあとに「この選択でよかった」と思えることです。
当院では、そうした考え方の違いに合わせて、複数の治療プランをご用意しています。
ここからは、それぞれのプランがどんな方に向いているのかを中心にご紹介します。
当院の矯正プラン
ライトプラン最も多く選ばれています
当院で約65%の方に選ばれている、最も人気のプランです。
治療期間の目安は3〜6ヶ月程度。
多くを求めすぎず、気になる部分だけを効率よく整えることを目的としています。
- 体への負担をできるだけ抑えたい
- 生活リズムを大きく変えたくない
- まずは見た目の改善を優先したい
そういった方にとって、
身体的にも生活面でも負担の少ない選択肢として支持されています。
無理なく、必要なところだけを整えたい方に合ったプランです。
プラスプラン仕上がりと機能性のバランスを重視
歯ならびの乱れがやや大きく、見た目の美しさと噛み合わせの機能性、どちらも大切にしたい方に選ばれているプランです。
治療期間の目安は6〜12ヶ月程度。
全体の約20%の方が、このプランを選択されています。
- 見た目だけでなく、しっかり噛める状態も目指したい
- 仕上がりにある程度こだわりたい
- 中途半端な改善では満足できない
そうした少しこだわりのある大人の方に適した、
完成度と期間のバランスが取れた治療プランです。
フルプランとことん改善したい方へ
歯ならびの乱れが大きく、時間をかけてでも、しっかり治しきりたい方に向けたプランです。
治療期間の目安は9〜18ヶ月程度。
全体の約15%の方が、このプランを選んでいます。
- 重度の歯列不正がある
- 大きな変化を求めたい
- 仕上がりに妥協したくない
必要に応じて抜歯を含む矯正治療を行い、見た目・噛み合わせともに、完成度を最優先で整えていきます。
とことんこだわりたい方のための、最も丁寧な治療設計です。
当院のお約束
どのプランを選んでも、治療の考え方や管理の質が変わることはありません。
- 無駄な動きをしない治療設計
- 途中で崩さない継続的な管理
- 押しつけない、納得のいく治療計画
これらはすべて、当院のマウスピース矯正に共通して大切にしていることです。
プランの違いは「優先順位の違い」であり、治療の丁寧さに差が出るものではありません。
どのプランが正しいかではなく、どの選択が、ご自身の今の生活に合っているか。
それを一緒に整理し、無理のない形で、最後まで治しきること。
それが、私たちが考える「大人のマウスピース矯正」です。
初診相談では、お口の状態だけでなく、治療に対するご希望や不安も含めて、丁寧にお話を伺います。
対応可能な歯ならび
-
ガタガタ
(叢生) -
受け口
(下顎前突) -
出っ歯
(上顎前突) -
すきっ歯
(空隙歯列) -
上下の隙間
(開咬) -
埋まった歯
(埋伏歯)
当院では、軽度から比較的難易度の高いケースまで、幅広い歯ならびのマウスピース矯正に対応しています。
これまでの治療実績をもとにすると、ご相談に来ていただいた方の約98%の症例で、当院での治療が可能と判断しています。
前歯のガタつきやすきっ歯といった軽度の乱れはもちろん、歯ならびのズレがやや大きいケースや、噛み合わせまで含めた調整が必要なケースにも対応してきました。
一方で、すべての方に当院の治療が向いているわけではありません。
当院のマウスピース矯正は、短期間で、無駄なく、やり直しなく治しきることを大切にしています。
そのため、他院のマウスピース矯正と比べると、費用はやや高めに感じられる場合があります。
「できるだけ安く矯正をしたい」という方には、当院の治療は向いていないかもしれません。
一方で、追加費用の心配なく、安心して最後まで治療を終えたいそう考える方には、当院の治療は適しています。
実際に、当院では約96%の方が追加料金なしで治療を完了されています。
価格よりも、治療の安定性や再現性、「ちゃんと治りきること」を重視したい方に選ばれている矯正治療です。
矯正初診を予約のうえご相談ください。
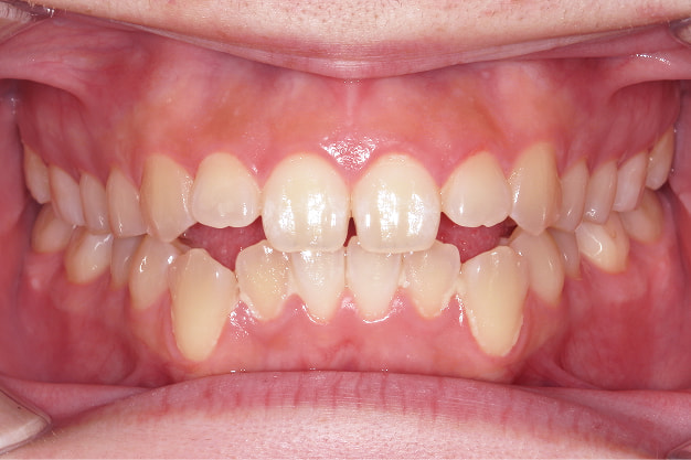
当院の矯正症例
Before
After
| 年齢 | 20歳 |
|---|---|
| 性別 | 女性 |
| 治療費用 | 880,000円(税込) |
| 治療期間 | 4ヶ月(2025年5月開始) |
| 治療回数 | 2回 |
| 抜歯 | 無し |
| 治療方法 | 大人用マウスピース矯正システム「インビザラインLite」を用いた治療 |
| 治療リスク |
|
※矯正サイトに移動します
豊富な症例経験に基づく矯正治療
大人からこどもまで豊富な矯正治療実績があります。
西宮市近隣で矯正治療を検討中の方は、当院までお気軽にご相談ください。
矯正治療実績3674名
| 年 | 院長 総数 |
当院 総数 |
小児 幼児 |
学生 成人 |
他院 総数 |
|---|---|---|---|---|---|
| 2006 | 8 | 8 | 2 | 6 | 0 |
| 2007 | 7 | 7 | 1 | 6 | 0 |
| 2008 | 11 | 11 | 2 | 9 | 0 |
| 2009 | 16 | 16 | 4 | 12 | 0 |
| 2010 | 11 | 11 | 3 | 8 | 0 |
| 2011 | 27 | 27 | 11 | 16 | 0 |
| 2012 | 17 | 17 | 6 | 11 | 0 |
| 2013 | 70 | 70 | 59 | 11 | 0 |
| 2014 | 127 | 127 | 88 | 39 | 0 |
| 2015 | 98 | 98 | 67 | 31 | 0 |
| 2016 | 92 | 92 | 72 | 20 | 0 |
| 2017 | 102 | 102 | 82 | 20 | 0 |
| 2018 | 100 | 100 | 71 | 29 | 0 |
| 2019 | 93 | 93 | 45 | 48 | 0 |
| 2020 | 107 | 107 | 49 | 58 | 0 |
| 2021 | 232 | 232 | 82 | 150 | 0 |
| 2022 | 332 | 331 | 139 | 192 | 1 |
| 2023 | 510 | 301 | 142 | 159 | 209 |
| 2024 | 777 | 323 | 137 | 186 | 454 |
| 2025 | 937 | 333 | 131 | 202 | 604 |
| 計 | 3674 | 2406 | 1193 | 1213 | 1268 |
※うちわけ
・伊藤歯科クリニック2406症例
院長伊藤が常勤対応しています。
・他院の矯正治療管理1268症例
治療計画作成と治療管理をしています。
治療の流れ(最短通院5回)
当院のマウスピース矯正は、無駄なステップを省き、必要なことだけを確実に行う流れで進めています。
「まずは相談だけ」という形は取っていません。
理由はシンプルで、検査結果のない相談は、正確な話ができないからです。
あなたにとって意味のある時間にするため、初回から検査を行います。
1回目
精密検査
ここでは治療の話はほとんどしません

お口の中を3Dスキャンし、噛み合わせや歯の状態を詳しく確認します。
この時点では、治療方針を決めることはありません。
感覚や経験だけで話を進めず、正確なデータを集めることを最優先にしています。
2回目
診断・治療計画の説明
あなた専用の話をします

検査結果をもとに、あなたの歯ならびが「どうなっていて」「どこまで治せるのか」を具体的かつ分かりやすくご説明します。
- 精密な診断結果
- あなたに合った治療計画
- 治療期間や選択肢
ここで初めて、あなたのための具体的な治療の話をします。
無理におすすめすることはありません。
3回目
矯正スタート

治療を始める場合は、歯にアタッチメントを接着し、マウスピースをお渡しして矯正を開始します。
同時に、スマートフォンのカメラで毎週チェックできる管理アプリをお渡しします。
このアプリを使うことで、治療の進み具合を遠隔で確認でき、来院はおよそ3ヶ月に1回程度に抑えることができます。
4回目
治療の仕上げ・調整

当院の矯正患者さんの約4〜5割の方は、最初のマウスピースで治療が完了します。
その場合、4回目の来院時に最終的な固定装置(リテイナー)の型取りを行います。
もし、
「もう少し整えたい」と感じる場合には、
調整を行ったり、必要に応じて2回目のマウスピース矯正を追加します。
無理に終わらせることはありません
5回目
矯正終了

固定装置の型取りを行った方は、5回目の来院でリテイナーをお渡しして矯正終了です。
ここまでで、矯正治療はひと区切りとなります。
大人からこどもまで豊富な矯正治療実績があります。
西宮市近隣で矯正治療を検討中の方は、当院までお気軽にご相談ください。
初診料について
当院では、成人マウスピース矯正の初診時に初診料(検査・診断料)として 5,500円(税込)を頂戴しています。
これは「相談料」ではありません。
正確な診断と、無駄のない治療計画を立てるための検査費用です。
マウスピース矯正は、歯ならびだけでなく、噛み合わせや歯の動きの癖、治療の難易度によって、進め方が大きく変わります。
検査結果がない状態でのご相談は、一般的な説明しかできず、かえって時間の無駄になってしまうことがあります。
当院では、「まず正確なデータを集めること」を何より大切にしているため、初回から精密検査を行っています。
その検査結果をもとに、2回目の診断説明では、あなたのお口の状態に基づいた、具体的で現実的な治療計画をお話しします。
なお、初診時に無理に治療をおすすめすることはありません。
診断内容を聞いたうえで、治療を始めるかどうかはご自身で決めていただけます。
「まずは自分の歯ならびの状態を正確に知りたい」
そのための初診料とお考えください。
高校卒業までの方は、健康保険の適用対象となります。
初診検査相談のご予約
ここまでお読みいただき、ありがとうございます。
大人のマウスピース矯正は、勢いで決めるものではありません。
「自分に合っているかどうか」
「無理なく続けられるかどうか」
それをきちんと理解してから判断することが大切だと、私たちは考えています。
そのため、初診では必ず治療を始める必要はありません。
初診相談についての考え方
まずは検査を行い、ご自身の歯ならびや噛み合わせの状態を正確に知っていただいたうえで、診断結果を聞いてから、ゆっくりご検討ください。
「今はまだ迷っている」
「話を聞いてから決めたい」
その段階でのご来院で、まったく問題ありません。
初診予約は、ご自身のタイミングでお取りください。
無理な勧誘は行っていませんので、どうぞ安心してご相談ください。
- マウスピース矯正は痛みがありますか?
-
痛みの感じ方には個人差がありますが、
ワイヤー矯正と比べると、痛みは比較的少ないと感じる方が多いです。
新しいマウスピースに交換した直後は、
歯が動くことによる軽い圧迫感を感じることがありますが、
多くの場合、数日で慣れていきます。
当院では、無理な力をかけない治療設計を行っているため、痛みが強く出にくいのも特徴です。
- 本当にきれいに治りますか?
-
歯ならびや骨の状態には個人差があるため、
すべての方が同じ仕上がりになるわけではありません。
マウスピース矯正は、安全性を保つために
歯の動きに一定の「余裕(アソビ)」を持たせた設計になっています。
また、骨の硬さや歯の動きやすさにも個人差があるため、
当院では無理のない、安全性を重視した治療計画を立てています。
治療途中で動きにくさが出た場合や、
新たに気になる部分が出てきた場合には、
追加の調整や治療を行うかどうかを選んでいただきます。
実際に、当院では約97%の方が、当初ご案内した料金の範囲内で治療を完了されています。
- 治療期間はどのくらいかかりますか?
-
歯ならびの状態や、どこまで整えたいかによって異なりますが、目安としては以下の通りです。
・ライトプラン:3〜6ヶ月程度
・プラスプラン:6〜12ヶ月程度
・フルプラン:9〜18ヶ月程度
当院では、無駄な動きを省いた治療設計を行うことで、必要以上に治療が長引かないよう管理しています。
- 費用はいくらくらいかかりますか?
-
歯ならびの状態やご希望に応じて、複数の治療プランをご用意しています。
詳しい費用は、精密検査後の診断説明時に、明確にご案内します。
なお、当院では約96%の方が追加料金なしで治療を完了されています。
- どんな歯ならびでもマウスピース矯正で治せますか?
-
多くの歯ならびに対応していますが、
すべてのケースがマウスピース単独で治療できるわけではありません。
当院では、ご相談に来られた方の約98%の症例で治療が可能と判断していますが、
状態によっては、他の治療方法をご提案することもあります。
向いていない場合は、無理にマウスピース矯正をおすすめすることはありません。
- 食事や歯みがきはこれまで通りできますか?
-
はい、可能です。
マウスピースは取り外しができるため、食事や歯みがきはこれまで通り行えます。
清潔を保ちやすい点も、大人の方に選ばれている理由のひとつです。
- マウスピースは1日どのくらい装着する必要がありますか?
-
1日22時間以上の装着をお願いしています。
装着時間が不足すると、治療期間が延びる原因になるため、計画通りに進めることが大切です。
- 高校生や大学生でもマウスピース矯正はできますか?
-
はい、可能です。永久歯が生えそろっていれば、高校生・大学生の方でも治療を行えます。
目立ちにくいため、学校生活やアルバイトにも支障が出にくいのが特徴です。
- マウスピース矯正は保険適用になりますか?
-
マウスピース矯正は自由診療のため、健康保険は適用されません。
ただし、医療費控除の対象となるため、確定申告で控除を受けることができます。
- マウスピース矯正を失敗しないために大切なことは何ですか?
-
大切なのは、装着時間を守ることと経験豊富な歯科医師による継続的な管理です。
当院では、治療計画・管理・修正を一貫して行うことで、「途中で崩れない矯正」を目指しています。
| 診療時間 | 月 | 火 | 水 | 木 | 金 | 土 | 日 |
|---|---|---|---|---|---|---|---|
| 8:30~12:00 | |||||||
| 13:30~17:00 |
※休診日:日曜・祝日
診療時間外はLINEでメッセージをお受けします。