伊藤歯科が取り組む らくらく時短マウスピース矯正
『多少費用がかかっても、伊藤歯科さんにお願いしたい。』
そうおっしゃる親御さんが多くいらっしゃいます。
伊藤歯科クリニックの小児マウスピース矯正は、ただ“歯を動かす矯正”ではありません。
成長・仕上がり・治療期間まで徹底して計算された、他院では再現が難しい「らくらく時短矯正」です。
らくらく時短マウスピース矯正のメリット
- 1000人を超える実績
- 小学校高学年からでも抜歯矯正を避けられる独自メソッド
- 半年以内に67%が治療完了というスピード
- 仕上がりが美しく、八重歯になりにくい高精度設計
- 薄く透明で違和感の少ないマウスピースだけで完結
- 2期矯正が必要になるケースが1〜3割と少ない
短期間で、美しく、再治療もほとんど不要。
この「治療の質と将来のメリット」こそ、初期費用以上の“価値”として選ばれています。
年間800症例以上の治療実績があるブルーダイヤモンドドクターが行う短期完結の小児矯正

小児矯正治療に20年向き合い、間800症例以上のインビザライン治療実績があるインビザライン ブルーダイヤモンドドクターとして磨き上げてきた治療だからこそ、お子さん・ご家族の負担を最小限にしながら最大の効果を引き出せます。
「できれば抜歯は避けたい」
「痛い治療はかわいそう」
「部活やピアノ、受験と両立できる?」
そんなご家族の不安に対する答えになる矯正治療です。
小児矯正は、始める時期で“未来の歯ならび”と”顔立ち”が大きく変わります。これから、あなたのお子さんに最適な矯正方法をわかりやすくご案内します。
小学校卒業までにはじめるこどものマウスピース矯正

上下ともに4本ずつ大人の前歯が生えそろってから、子どもの歯がすべて抜けるまでの時期に行う矯正です。
この時期の矯正では、透明なマウスピース型装置「インビザライン・ファースト」を使用します。ワイヤを使わずに取り外しができるため、痛みや違和感が少なく、食事や歯みがきも普段通り行えます。
高学年からでは遅いと言われがちな矯正に、当院が対応できる理由

一般に小児矯正は生え替わりが落ち着く小学校の低学年だけを対象にしていて、高学年では無理、中学生になるまで待ちましょうと言われることが多いとされています。当院でも以前はお引き受けできませんでしたが、生え替わりにも対応できるよう工夫を重ねて、小学生のどの時期でも矯正治療をお引き受けできるようになりました。もともとマウスピース矯正は痛みが少ないですが、小学生の間は特に痛みが出にくい時期でもあります。貴重なこの時期を無駄にせず、成長の余力があるこの時期に矯正をすることで、将来の出っ歯・受け口を防ぎ、抜歯矯正しないで済むように顎の成長をサポートします。
マウスピース矯正は誰が治療しても一緒ではありません

マウスピース矯正の治療計画は矯正の担当医が作成しますが、治療計画のクオリティーは考え方と経験に深く依存します。毎年10人の診断をしているドクターと100人の診断をしているドクター、そして1000人の診断をしているドクターでは治療計画の質に差が出るのは当然です。また、小児矯正の経験が1年のドクターと5年のドクター、20年のドクターでは、成長予測の精度に差が出ることも当然です。院長の伊藤 尚史は20年の小児矯正経験があり、他院の治療計画も含めて年間1000人の治療計画を作成しています。たくさんの治療経験があるからこそ、お子さんの個性と要望に合わせた治療計画を作成することができます。特に要望が高い「治療期間の短縮」と「質の高い結果」を両立させるよう工夫を重ねてきたので、6割の患者さんが半年以内に治療を完了しています。
院長のプロフィールを見る最短3ヶ月で矯正完了、半年以内に6割が終了

1000人以上の子どもの歯ならびを診てきた経験から、当院には短期間で終わる小児矯正のノウハウがあります。
小学生の時期はあごの骨がやわらかく、歯が動きやすいのが特徴です。
そのため、マウスピース矯正(インビザライン・ファースト)を使えば、3ヶ月で完了するお子さんが約3割、半年以内なら約6割、1年だと約9割にのぼります。
2005年の開業以来、矯正に取り組んできた実績

当初、子どもの歯列矯正は「装置の違和感が強い」「治療期間が2〜3年と長く続けにくい」「2期矯正が必ず必要」などの理由で、中断してしまうお子さんも少なくありませんでした。
その課題を解決するため、矯正方法の改良を重ね、2014年からは透明で薄いマウスピース矯正を導入し2019年からはインビザラインによる小児矯正を始めました。
治療後の仕上がりの美しさ、矯正期間の短縮、装着時の快適さを追求し、最近では約8割のお子さんが半年以内に歯ならびを改善できるようになりました。スタッフの子供も、みな当院で治療を完了しています。
歯の埋伏やあごのズレなど難症例の場合も、ほとんどの方をワイヤ矯正で対応していますが、必要に応じて専門医や医療機関へ紹介する体制も整えています。
院長は大阪大学歯学部の歯学博士で、病院勤務時代の専門は外科的顎矯正、重度の歯ならびの異常を手術で治す治療を行っていました。豊富な臨床経験をもとに、成長期のあごの動きや骨格のバランスを考慮した矯正計画を立てています。
子どもの歯ならびが気になりはじめたら、小児矯正経験豊富な当院の小児矯正をご相談ください。
兵庫県で唯一のブルーダイヤモンド認定ドクター

院長は年間750症例以上の治療計画作成実績に与えられる兵庫県で唯一のブルーダイヤモンド認定ドクターです。そして、他の歯科医院にも矯正治療指導を行なっているインビザライン公式スピーカー(セミナー講師)です。
こどもに選ばれるマウスピース矯正
数ある小児の矯正装置の中で、もっとも軽くて薄いので、実物を見たほとんどの小学生がマウスピース矯正を選びます。装置は食事や歯磨きの時間以外、1日22時間以上装着します。違和感が少ないので、98%のお子さんが治療を完了しています。怪我予防のマウスピースもかねることができるので、スポーツ中の使用も問題ありません。万一マウスピース矯正を続けられない場合は、ワイヤ矯正に切り替えて治療を完了することができます。
小学生の時期に矯正を始めるメリット
| 短期間で痛みが少ない | できあがりが綺麗 | 抜歯矯正が避けられる |
子どもの矯正の適齢期は大きく分けて3つ

それぞれの時期で矯正の目的が違い、治療方法も異なります。
早期から必要な矯正を行うことで、仕上がりの質が良くなります。
定期的に通院いただくことで、適切なタイミングで治療ができます。3期に分けることで矯正期間を短く、トータル費用を抑えられます。
①幼児矯正期(4〜6歳)顎骨成長のバランスを改善

シリコン素材の既製のマウスピースを夜間だけ使用します。
成長の余力が大きいこの時期は、出っ歯・受け口など、かみ合わせのズレを治す治療に最適です。甲子園矯正歯科 伊藤歯科クリニックでは、3〜4割の方がこの時期で矯正治療が終了してしまいます。その場合、治療がとても楽で、リーズナブルになります。歯ならびのガタガタが残っても、差額で次の段階の治療を受けることができるので治療を受けたことが無駄になりません。
②1期矯正期(7〜12歳)歯が並ぶスペースを確保

前歯がガタガタの場合、歯が並ぶ場所を確保する必要があります。成長の余地が残っている小学生の間は、短期間で痛みなく矯正できる貴重な時期です。
この時期に甲子園矯正歯科 伊藤歯科クリニックで1期矯正を完了すると9割以上の方は抜歯矯正が不要になり、7割以上の方は2期矯正が不要になります。
③2期矯正期(16〜18歳)成長後の仕上げ矯正

一般に1期矯正後に2期矯正が必要となる割合は40〜60%程度、期間は1年以上かかるとされていますが、伊藤歯科クリニックで1期治療を行った場合、2期矯正が必要なのは20〜30%、期間は半年程度で終わることが多いです。2期治療までの歯並びの乱れが少なくなるよう工夫を重ねてきた結果の実績です。
また通常は中学生の間に始める2期矯正を当院では18歳ごろに行っています。その理由は当院の2期矯正が3〜6ヶ月の短期間で完了することが多いため18歳までの間に成長による出っ歯・受け口が再発することがあるからです。1期治療後、歯ならびの異常が生じても、埋伏菌など重大な異常以外は成長の完了を待って治療することをお勧めしています。18歳ごろの2期治療で、顎の成長、生えかわりの異常、親知らずなどの影響で生じた歯ならびの乱れをまとめて治します。
学校検診で「はならびの乱れ」を指摘されたら・・・

これまで自由診療だった歯科矯正治療に必要な検査・診断が、保険の健康診断の範囲で受けられるようになりました。学校の歯科検診で「歯ならび」や「かみ合わせ」に関する指摘を受けた小学生・中学生・高校生が対象です。学校検診の用紙を話ずれずにお持ちください。
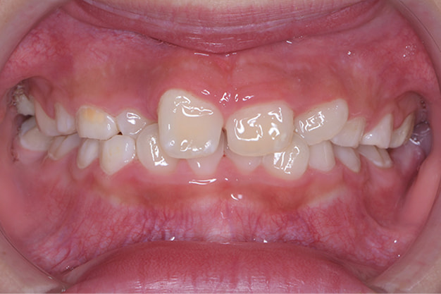
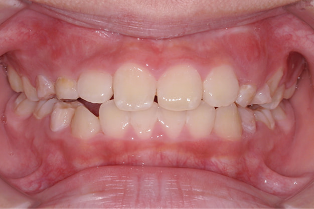
当院の矯正症例

Before

After
| 年齢 | 9歳 |
|---|---|
| 性別 | 男性 |
| 治療費用 | 660,000円(税込) |
| 治療期間 | 6ヶ月(2022年4月開始) |
| 通院買回数 | 3回 |
| 抜歯 | 無し |
| 治療方法 | 小児用マウスピース矯正システム「インビザラインFirst」を用いた治療 |
| 治療リスク | 1日22時間の装着時間を守らないと治療期間が遅くなり、歯並びの質が悪くなります |
※矯正サイトに移動します
こどもプラン

一般的な小児矯正が1~3年程度のところ、当院では、3ヶ月以内で37%、6ヶ月以内で63%、1年以内に78%のお子さんが治療を完了しています。
薄いマウスピースを使った矯正のため、違和感が少なく、痛みがほとんどないのが特徴です。
埋伏歯などの難しい矯正治療にも対応しています。
豊富な症例経験に基づく矯正治療
大人からこどもまで豊富な矯正治療実績があります。
西宮市近隣で矯正治療を検討中の方は、当院までお気軽にご相談ください。
矯正治療実績3674名
| 年 | 院長 総数 | 当院 総数 | 小児 幼児 | 学生 成人 | 他院 総数 |
|---|---|---|---|---|---|
| 2006 | 8 | 8 | 2 | 6 | 0 |
| 2007 | 7 | 7 | 1 | 6 | 0 |
| 2008 | 11 | 11 | 2 | 9 | 0 |
| 2009 | 16 | 16 | 4 | 12 | 0 |
| 2010 | 11 | 11 | 3 | 8 | 0 |
| 2011 | 27 | 27 | 11 | 16 | 0 |
| 2012 | 17 | 17 | 6 | 11 | 0 |
| 2013 | 70 | 70 | 59 | 11 | 0 |
| 2014 | 127 | 127 | 88 | 39 | 0 |
| 2015 | 98 | 98 | 67 | 31 | 0 |
| 2016 | 92 | 92 | 72 | 20 | 0 |
| 2017 | 102 | 102 | 82 | 20 | 0 |
| 2018 | 100 | 100 | 71 | 29 | 0 |
| 2019 | 93 | 93 | 45 | 48 | 0 |
| 2020 | 107 | 107 | 49 | 58 | 0 |
| 2021 | 232 | 232 | 82 | 150 | 0 |
| 2022 | 332 | 331 | 139 | 192 | 1 |
| 2023 | 510 | 301 | 142 | 159 | 209 |
| 2024 | 777 | 323 | 137 | 186 | 454 |
| 2025 | 937 | 333 | 131 | 202 | 604 |
| 計 | 3674 | 2406 | 1193 | 1213 | 1268 |
※うちわけ
・伊藤歯科クリニック2406症例
院長伊藤が常勤対応しています。
・他院の矯正治療管理1268症例
治療計画作成と治療管理をしています。
「ママとこどものはいしゃさん」とは、厳正な審査基準を満たした医院のみが認定を受ける、安心・安全な歯科医院です。
- むし歯・歯周病から家族を守る「定期的な予防管理」
- 国の基準をクリアした「衛生管理体制」
- お子さんの健康なお口を育てる「小児矯正」
- ママに優しい、金属を使わない「セラミック治療」
当院は「ママとこどものはいしゃさん甲子園院」として、ママとこどものはいしゃさんグループ(株式会社ウィンポイント)より正式に認定された歯科医院です。
- 小児矯正は何歳から始めるのが良いですか?
上下の前歯が4本ずつ生えそろったあと、生え替わりの少ない6〜8歳ごろが目安です。あごの成長を利用できるため、歯が動きやすく短期間で整いやすい時期です。その前(3歳〜6歳)であってもリーズナブルで、効果的な幼児矯正を提供できますし、その後(9歳〜12歳)であっても生え替わりに対応したマウスピース矯正で対応ができます。13歳以降は大人の矯正として対応させていただきます。
- 歯ならびが気になるのですが、いつ相談すればいいですか?
お子さんの歯ならびや噛み合わせは、3〜4歳ごろからチェックを始めるのがおすすめです。この時期はあごの成長や筋肉の使い方に個人差が出始めるため、早期に評価することで将来の歯ならびの乱れを未然に防ぐことができます。この時期から歯並びの異常を改善することができると、最もリーズナブルになる可能性が高く、歯並びも顔立ちも最もよくなります。
当院では、必要に応じてプレオルソやT4Kなどのマウスピース型の歯列矯正用咬合誘導装置を使用し、舌や口まわりの筋肉のバランスを整える「口腔育成(幼児矯正)」を行っています。歯ならびだけでなく、口呼吸や姿勢、発音にも良い影響を与える治療です。
「少し歯が出てきた」「口をポカンと開けている」など、気になることがあればお気軽にご相談ください。
- 低学年でマウスピース矯正はできますか?
はい、可能です。むしろ、ぜひ低学年から矯正を始めていきたいと考えています
当院では、上下それぞれ4本の永久歯(前歯)が生えそろってから、子どもの歯がすべて抜けるまでの期間を小児マウスピース矯正の最適な時期としています。
この時期はあごの成長が活発で、歯の移動もスムーズに行えるため、早期に始めることでより短期間・低負担での矯正が可能です。
当院のマウスピース矯正では、低学年から始めたお子さんの8割以上が半年以内に治療を完了しています。高学年だと生え替わりへの対応で時間がかかる場合があり、半年以内に治療が完了するお子さんの割合が6割程度に下がります。
当院はこれまでに1000人以上の小児矯正治療実績があり、経験豊富なドクターが成長段階に合わせた治療を行っています。「いつ始めたらいいか分からない」「学校生活に支障があるのでは」など、不安がある方もお気軽にご相談ください。
- マウスピース矯正とはどのようなものですか?
透明で薄いマウスピース型の矯正装置を使って矯正します。3〜4日ごとに新しいものに交換して歯を少しずつ動かしていく矯正方法です。
取り外しができるため、食事や歯みがきをこれまで通り行うことができます。
目立ちにくく、衛生的に管理しやすいことから、近年では多くの患者さんに選ばれています。
- 装置は1日どのくらい装着する必要がありますか?
マウスピース矯正では、1日22時間以上の装着をおすすめしています。
食事や歯みがきのときだけ外し、それ以外の時間はできるだけ装着していただくことで、より効果的に歯を動かすことができます。装着時間を守っていただくと、他の矯正方法の半分以下の期間で治療を完了することができています。
- 食べ物や飲み物に制限はありますか?
食事の際はマウスピースを外せるため、基本的に食べ物の制限はありません。
装着したまま糖分の多い飲み物を摂ると、虫歯や着色の原因になるため控えてください。
お水以外の飲み物を摂るときは、一度マウスピースを外すようにしましょう。
- マウスピース矯正は痛みはありますか?
お子さんの場合、あごの骨がやわらかく歯が動きやすいため、強い痛みを感じることはほとんどありません。マウスピース矯正はワイヤを使わないため、装置による口内炎や擦れなどのトラブルも少ないのが特徴です。
新しいマウスピースに交換した直後は、歯が動くときにわずかな締めつけ感を感じることがありますが、通常は1〜2日で慣れるお子さんがほとんどです。
- 通院間隔はどのくらいですか?
当院では、「デンタルモニタリング」というスマホアプリを使用し、リモートで治療経過を確認できる仕組みを導入しています。
そのため、多くの方が3ヶ月に一度の来院で矯正チェックを受けられるようになりました。
お子さんのマウスピースの装着状態や不適合なども、アプリを通じて確認できるため、毎月の通院が難しい方でも安心して矯正を進めることができます。
学校や習い事にも支障がなく、治療を続けられるのが特徴です。
- 学校や習い事に支障はありませんか?
マウスピースは取り外しができるため、学校生活や習い事への影響はほとんどありません。
透明で目立ちにくい装置なので、人前でも気にせず過ごせます。
また、スポーツや楽器の演奏にも支障が出にくく、これまで通り学校や習い事を楽しめます。
- どのくらいの期間で終わりますか?
当院の小児マウスピース矯正は独自の工夫により、とても短期間で矯正治療が完了します。
治療期間はお子さんの症状や成長の段階によって異なりますが、小学校低学年のお子さんであれば真面目に装着時間を守れば7割の方が3ヶ月ほどで完了しています。 当院の実績では、3ヶ月以内に約4割、半年以内に約6割のお子さんが治療を終了されています。
- なぜ甲子園矯正歯科 伊藤歯科クリニックでは、短期間で治療可能なのですか?
ワイヤ矯正では、歯列の幅を広げる期間と歯をまっすぐに並べる期間をそれぞれ別に設ける必要があります。一方、マウスピース矯正ではこれらを同時に進めることができるため、治療期間を短縮しやすくなります。
1000人を超える治療経験をもとに、より効率的に歯を動かす工夫や計画立案を行っています。 治療内容や期間はお口の状態によって異なりますので、まずはお気軽にご相談ください。
- 治療後にまた歯ならびが戻ることはありますか?
成長や親知らずの生え方、日常の癖などの影響で、歯ならびが後戻りすることがあります。そのため、治療後は保定装置(リテーナー)を毎晩使用することで、歯ならびの後戻りを最小限に抑えることができます。
また、成長の経過によっては、18歳以降に2期矯正(仕上げ矯正)をご提案する場合もあります。当院の実績では2割程度の方で2期矯正を行っています。
ほとんどの方で30万円〜40万円程度、半年以内に治療が完了しています。
- 矯正後にもう一度矯正が必要になることはありますか?
成長の状態や永久歯の萌出方向によっては、歯が出てこなかったり(埋伏歯)顎の発育の影響で受け口・出っ歯になる方が一定の割合でいます。
当院では1期矯正(小児矯正)を受けられた方について、再矯正が必要となった際には再診断を行い、2期矯正をよりご負担の少ない費用で行っています。
中学生までに再度矯正が必要になる割合は1割程度、成長期完了後二期矯正が必要になった方は2割程度です。成長の経過を丁寧に確認しながら、必要に応じて最適な治療方法をご案内します。
- 矯正して歯ならびが良くなると、どんなメリットがありますか?
歯ならびが整うことで歯を磨きやすくなり、むし歯や歯周病の予防につながります。また、第一印象がよくなり、滑舌が改善することで社会での活躍が増える方が多い印象です。
また、歯石がたまりにくくなることで、お口の中を清潔に保ちやすくなります。将来、歯を長持ちさせるためにも矯正治療はおすすめです。
近年の研究では、むし歯菌や歯周病菌が、認知症・高血圧・動脈硬化・心臓病などの全身疾患に関与している可能性が指摘されています。
そのため、歯ならびを整えることは、お口だけでなく全身の健康維持にもつながると考えられています。
| 診療時間 | 月 | 火 | 水 | 木 | 金 | 土 | 日 |
|---|---|---|---|---|---|---|---|
| 8:30~12:00 | |||||||
| 13:30~17:00 |
※休診日:日曜・祝日
診療時間外はLINEでメッセージをお受けします。

