インビザライン
スタッフ体験ブログ

インビザライン・マウスピース矯正

2025/10/14インビザライン体験ブログ
こんにちは。スタッフFです。
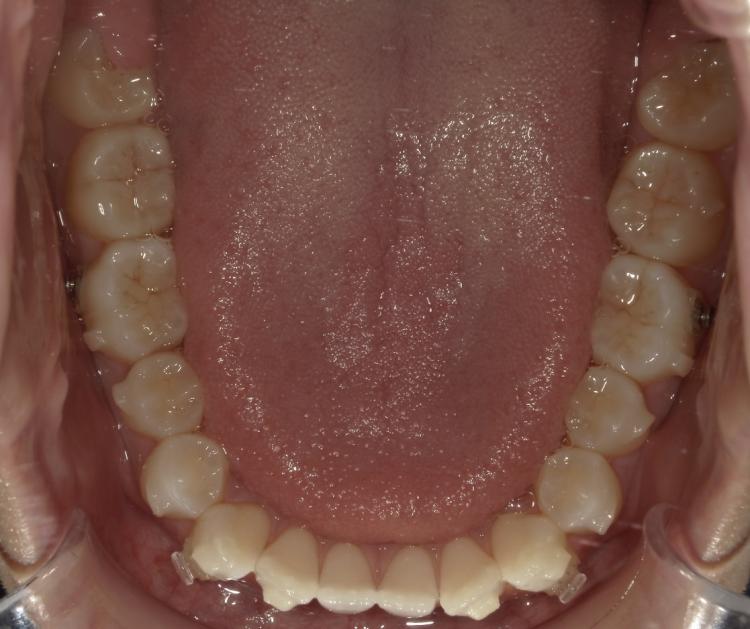
インビザラインのアライナーを23枚目に交換しました。
歯並びが変化してきて、下の親知らずがまっすぐ上に出てきました。
インビザラインを開始した時と現在の写真です。
もともとスペースが足りず歯ぐきがかぶっていて汚れがたまりやすかったのですが、磨きやすくなったように感じます。
後一枚なので最後まで頑張ります。
インビザライン・マウスピース矯正 インビザライン・マウスピース矯正
火金は19時まで
新規矯正相談予約