インビザライン
スタッフ体験ブログ

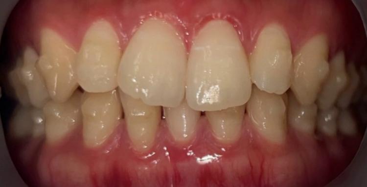
インビザライン・マウスピース矯正5枚目

2025/09/26インビザライン体験ブログ
インビザライン・マウスピース矯正5枚目
こんにちは!スタッフのSAです。
マウスピース5枚目に交換しました。
1枚目よりも着脱時の痛みが少なくなってきました。
上の2番はマウスピースが浮いてきているのでしっかりとチューイを噛んでいきたいと思います。
火金は19時まで
新規矯正相談予約