インビザライン・マウスピース矯正
2025/07/31インビザライン体験ブログこんにちは。スタッフFです。
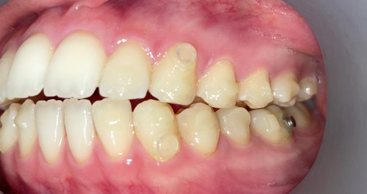
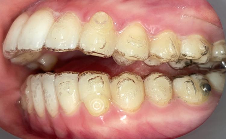
インビザラインのアライナーを16枚目に交換しました!
アタッチメントとが5個ほど外れていたので付けなおしてもらいました。
アタッチメントとは歯の表面に装着する小さい突起物のことで、歯に近い白色の素材でできています。
マウスピースが歯にしっかりとフィットし、より効果的に歯を動かすための補助的な役割を果たします。
日常生活で外れることもありますが3ヶ月に1回はアタッチメントが取れてる所がないかチェックし、再セットします。


