インビザライン
スタッフ体験ブログ

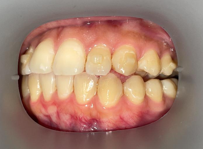
インビザライン・マウスピース矯正 3枚目

2025/04/28インビザライン体験ブログ
こんにちは、スタッフAです。
マウスピースを3枚目に交換しました!
痛みはなく、順調に進められています。
ですが、前々回もお話した気になるところがまだまだ改善されません。
引き続き頑張ります。
インビザライン・マウスピース矯正 3枚目 インビザライン・マウスピース矯正 3枚目
火金は19時まで
新規矯正相談予約